English
柏视新动态 | 医疗研发团队开发出新冠肺炎辅助筛查系统
2020年2月24日
PVmed
2019年12月以来,湖北省武汉市部分医院陆续发现了多例有华南海鲜市场暴露史的不明原因肺炎病例,现已证实为2019新型冠状病毒(2019-nCoV)感染引起的急性呼吸道传染病,一场关乎全国人民生命健康的疫情防控阻击战已经打响。





CT诊断一直是各类肺部疾病的一项重要检查手段,能够快速得出结果,且对肺炎病情的严重程度及其发展过程做出评判,这对于新冠肺炎的早期筛查具有重要意义。在《新型冠状病毒肺炎影像学诊断指南(2020第一版)》中也指出“新型冠状病毒感染确诊靠病毒核酸检测,虽特异性强,但敏感性差,并且根据目前经验肺部影像表现早于临床症状,因此影像学检查在临床前期筛查具有不可替代的作用”。

柏视医疗作为一支在医疗人工智能领域具有雄厚实力的队伍,在疫情发生以来,第一时间组织精干力量,多部门协同作战,放弃休假连续数日加班工作至凌晨,并在华中科技大学同济医学院附属武汉协和医院(以下简称武汉协和医院)的大力支持下完成了研发工作,将以实际行动支援战“疫”一线。



产品介绍

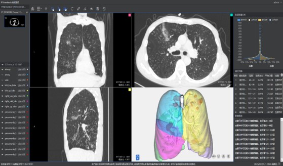
本系统是根据最新版新型冠状病毒肺炎影像学诊断指南推出的针对新型冠状病毒肺炎的轻量级辅助阅片工具。在公司原有AI辅助筛查系统的基础上,联合武汉协和医院,依据新型冠状病毒感染肺炎的影像学表征对原有AI产品做出升级,能够快速对新冠肺炎疑似病例进行诊断筛查。目前疫情在短时间内出现爆发式的就诊需求,尤其是核心地区,难以实现快速精准的诊断。本系统能够应对可能出现的大规模病例筛查,有助于及时发现潜在病例,加强防控。

产品特点

快速

针对新冠肺炎的各种典型征象如:磨玻璃影(GGO)、斑片影、实性变化等,在短时间内进行快速检测,大大提高阅片效率,助力当前新冠肺炎进行大规模影像筛查。

准确

依据最新版新型冠状病毒肺炎影像学诊断指南中对CT影像诊断的要求,联手武汉协和医院,大量高质量的数据使柏视能够提供准确的处理结果。利用AI实现影像表征的自动定量化分析,通过病灶形态特征信息、密度信息等提示肺部病变;并能够自动计算出疑似概率将病例进行分级分区,方便医生逐级筛查。

简易

柏视医疗依托多年在医学影像阅片工具开发领域的丰富经验,推出的这款轻量级简易阅片工具具有足够的稳定性来应对当前的疫情发展。在目前医疗资源紧张,医务工作人员工作量剧增的严峻形势下,不受第三方系统和设备的约束,具备易部署和易操作的特点能够有效的辅助当前新冠肺炎病例的大规模影像筛查,有助于及时发现潜在的患者,加强防控。

多能

此次新冠肺炎传播速度快,病情发展较为迅速,早期、进展期 、重症期的影像表现有着明显区别。本系统还具备对多次检查结果进行对比分析的功能,提高诊断效率。同时,为更加方便的应对当前客户需求,系统同时具有根据医院的需求生成符合最新型冠状病毒肺炎诊断指南的结构化图文报告的功能。

全民抗“疫”,刻不容缓!柏视医疗研发团队竭诚勠力,结合疫情实况开发新冠肺炎辅助筛查系统,并肩一线的医务工作者,助力高效安全地完成诊断与诊疗工作。通过科技赋能疫情防治,定能在这场没有硝烟的疫情阻击战中起到关键辅助作用,推动战“疫”早日取胜!。